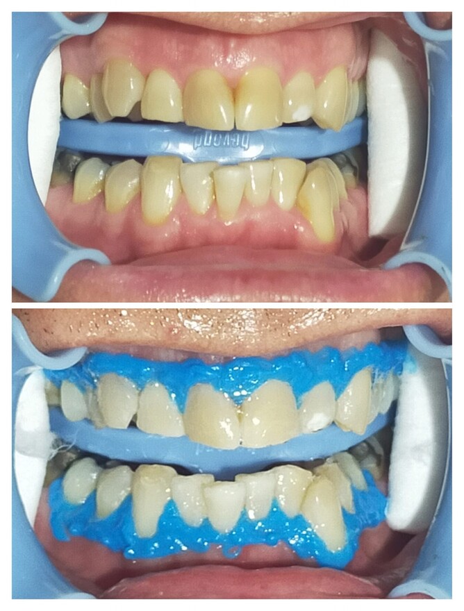
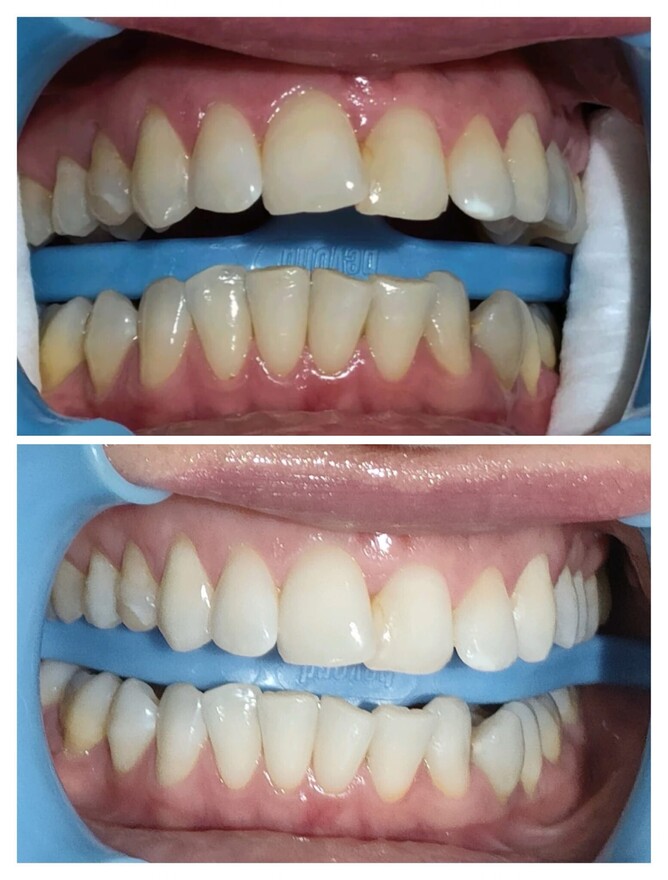
Our Oral Health Therapist Bridget Dodunski is offering In-House Whitening using the Co Lab Whitening system. This whitening system will provide you with instant results, while being a comfortable and relaxing experience.
See below photos of Bridget's patient's before and after treatment.
Other whitening options are the PolaDay and PolaNight products where you whiten at home in your own time.
Please make appointment if you are interested in whitening your teeth safely. It is important you have a check up and a hygiene appointment prior to whitening. We will help tailor a personalised treatment plan to suit your needs and goals.

